Fortbildungen/Seminare/Webinare
Wir bieten deutschlandweit zahlreiche Präsenzfortbildungen & Webinare für Ärzt*innen an. Details zu unseren Online- und Präsenz-Veranstaltungen finden Sie in unserer Übersicht.
Karriere bei amedes genetics! Wir bieten Ihnen attraktive Stellenangebote. JETZT BEWERBEN
Humangenetische Diagnostik und Beratung aus einer Hand
Unser Anspruch ist es, durch kontinuierliche wissenschaftliche Weiterentwicklung, höchste technische Standards und enge interdisziplinäre Zusammenarbeit eine präzise, verlässliche und klinisch relevante Diagnostik zu gewährleisten – für eine optimale Versorgung unserer Patient*innen und fundierte Therapieentscheidungen.
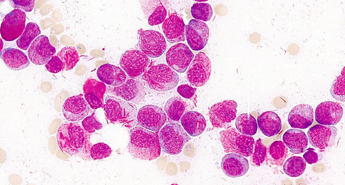
Bei Verdacht auf hämato-onkologische Erkrankungen wie z.B. Leukämie, Myelodysplastisches Syndrom (MDS) und Myeloproliferative Neoplasien (MPN) sowie Lymphome sind Zytomorphologie, Immunphänotypisierung, Molekulargenetik, Tumorzytogenetik und Pathologie in gleichem Maß von Bedeutung.
Alle Kompetenzbereiche sind notwendig, um einen aussagekräftigen Gesamtbefund zu Diagnose, Klassifikation und Risikoabschätzung der jeweiligen hämato-onkologischen Erkrankung stellen zu können.
In spezialisierten amedes-Laboren werden die entsprechenden Analysen nach höchsten Qualitätsstandards bearbeitet. Das gut eingespielte hämato-onkologische Team garantiert dies durch eine schnelle und direkte Kommunikation zwischen den Standorten. Eine Befunderstellung unter Berücksichtigung und in Zusammenschau sämtlicher durchgeführter Analysen und aller wesentlichen Parameter kann so „aus einer Hand“ erfolgen.
Immunphänotypisierung
Die hochauflösende Mehrfarben-Immunphänotypisierung gewährleistet eine detaillierte immunologische Zuordnung der Zellen anhand spezifischer Antigen-Expressionsmuster. Die Beurteilung von Reifungsstörungen, die Bestimmung der Klonalität von Zellpopulationen und die Quantifizierung von Zellen erlaubt eine erste Typisierung/Klassifikation oder ein Staging von hämatologischen Systemerkrankungen.
Aberrante Markerexpressionen und leukämie-assoziierter Immunphänotyp sind die Grundlage zur Detektion minimaler Resterkrankungen, auch dort, wo mittels molekulargenetischer Analysen (NGS) keine pathogenen Varianten gefunden werden. Neben Blut und Knochenmark sind Lymphknotenaspirate und Körperflüssigkeiten wie Liquor, Pleurapunktate, Bronchiallavage und Aszites typische Untersuchungsmaterialien. Es können mit diesen ersten diagnostischen Stufen in den meisten Fällen reaktive von malignen Krankheitsbildern abgegrenzt werden.
Molekulargenetik
Um Einsendern stets eine Bearbeitung und Befunderstellung nach aktuellen Richtlinien garantieren zu können, ist die fortlaufende Aktualisierung und Erweiterung des angebotenen Methodenspektrums von größter Wichtigkeit. Deshalb hält das molekulargenetische Team in Hannover die modernsten akkreditierten Analysemethoden vor. Die Ergebnisse sind u.a. für die Prognoseeinschätzung bei MDS, MPN und AML essentiell. Doch nicht nur in der täglichen Laborarbeit entwickeln sich die Technologie und die Anzahl der zu untersuchenden
Gene rasant. Auch die Anzahl der (Zulassungs-)Studien, die zu Therapieempfehlungen auf Grundlage der gefundenen molekular-genetischen Varianten führen, nehmen stetig zu. Um auch bei
der Variantenbewertung immer auf dem aktuellen Stand der Therapieempfehlungen sein zu können, setzt das Hannoveraner Team eine spezialisierte bioinformatische Pipeline ein, die alle aktuellen Studien und Therapien beinhaltet.
Tumorzytogenetik
Die tumorzytogenetische Analyse stellt nach wie vor den Goldstandard in der Diagnostik vieler hämatologischer Neoplasien dar. Ein exzellent ausgebildetes Team erfahrener Mitarbeiter*innen bietet mit der klassischen Chromosomenbandenanalyse (Karyotypisierung) und den verschiedenen molekularzytogenetischen Techniken (Fluoreszenz in situ Hybridisierungen) das gesamte zytogenetische Spektrum für eine fundierte hämato-onkologische Diagnostik. In enger Abstimmung mit den ergänzenden Schwerpunktbereichen für Zytomorphologie und Immunphänotypisierung sowie der molekularen Onkologie realisiert das Team eine fachlich fundierte und integrierte Befundung.
Pathologie
In unseren Histopathologien werden alle immunhistochemischen Methoden zur Gewebediagnostik lymphatischer und myeloischer Neoplasien angeboten und routinemäßig eingesetzt. Die Untersuchung von Beckenkammtrepanaten stellt eine wichtige Ergänzung der Immunphänotypisierung, Tumorzytogenetik und molekularen Diagnostik dar. Sie bietet zusätzliche Informationen und ist bei einigen Erkrankungen (z.B. Primäre Myelofibrosen (PMF)) essentieller Teil der leitlinienkonformen Diagnostik. Beckenkammtrepanate ermöglichen Aussagen zum Ausmaß der Knochenmarkinfiltration und sind damit ein bewährtes Verfahren zur Verlaufskontrolle lymphatischer Neoplasien. An Beckenkammtrepanaten können zusätzlich und punktgenau umfangreiche molekulare und zytogenetische Untersuchungen durchgeführt werden (z.B. JAK2-Varianten). Bei fehlender Möglichkeit ein Knochenmarkaspirat zu gewinnen, ist die Beckenkammtrepanation die einzige Möglichkeit, diagnostisch verwertbares Material zu gewinnen (z.B. Punctio sicca bei B-Vorläufer-ALL oder bei Knochenmarkfibrosen).
Hier finden Sie für den Klinischen Bereich "Onkologie" verfügbare krankheitsbezogene Genpanels und Auftragsscheine.
Molekularpathologie
Die Molekularpathologie ist ein modernes Teilgebiet der klassischen Pathologie. Hier gibt es mehr Informationen.
Hier finden Sie für den Klinischen Bereich "Hämatologie" verfügbare krankheitsbezogene Genpanels und Auftragsscheine.
Im Mittelpunkt unserer Tätigkeit steht die genetische Beratung. An mehreren Standorten in Deutschland können Patienten Termine in unseren genetischen Sprechstunden vereinbaren. Zudem bieten wir Ärzten aller Fachrichtungen Hilfestellung bei der Betreuung von Patienten mit genetisch bedingten Erkrankungen. Wir nehmen uns Zeit, Sie ausführlich aufzuklären und genetische Befunde mit Ihnen verständlich zu besprechen. Bei unklaren Syndromen versuchen wir die genetische Ursache zu finden und bei bekannten genetischen Erkrankungen den zu Grunde liegenden Defekt zu sichern.
Wir bieten deutschlandweit zahlreiche Präsenzfortbildungen & Webinare für Ärzt*innen an. Details zu unseren Online- und Präsenz-Veranstaltungen finden Sie in unserer Übersicht.

Allgemeine Auskunft
Tel. 0345 44 50 7102
Bestellung Abnahme-/Versandmaterial
Tel. 0800 589 05 06
Fax 0800 589 05 07
Allgemeine Anfragen Molekulargenetik/Tumorzytogenetik
Tel. 0511 301 795 185
Mail genservice(at)amedes-group.com
Befundauskunft
Zytomorphologie, Immunphänotypisierung
Tel. 0345 44 50 7102
Molekulargenetik
Tel. 0511 301 795 185
Tumorzytogenetik
Tel. 0201 74 77 60 (Essen)
Tel. 0511 301 795 185 (Hannover)
Pathologie
Tel. 0345 23 11 00